Knowledge Popularization

Classic Case 4.75 Systemic Treatment of Multi-Segmental Adult Thoracolumbar Degenerative Diseases

Oct. 31, 2025

Case 1

Clinical Description

· Male, 62 years old

Present Illness: Twenty years ago, the patient developed intermittent claudication without an obvious cause. After walking approximately 1000 meters, he experienced weakness, pain, and a sense of soreness and distension in both calves, making it impossible to continue walking. Symptoms resolved after resting for about 5-10 minutes, allowing him to resume walking. This was accompanied by low back pain, which was most pronounced during semi-flexion of the back, along with a feeling of emptiness in the lumbar region. He also reported radiating leg pain, coldness in both lower limbs, and pain at rest. Subsequently, the intermittent claudication symptoms gradually worsened. Currently, he needs to squat and rest after walking only about 100 meters.

Clinical Diagnosis: Lumbar Spinal Stenosis

Surgical Treatment: Spinal fusion from L2 to S1, comprising lumbar laminectomy (for decompression), discectomy, interbody cage placement, and bone grafting fusion. Instrumentation involved posterior fixation using a 4.75 system with 10 screws and 2 rods, along with cage(s).

Postoperative imaging

Postoperative Imaging

Postoperative 6-month Imaging
Postoperative imagingPostoperative 6-month ImagingPostoperative 6-month Imaging

6-Month Postoperative Follow-up:

· Implant position: No significant change compared to the immediate postoperative position.

· Dynamic Radiographs:

o Hyperextension position: 42.9°

o Hyperflexion position: 42°

o Intervertebral angle difference: 0.9°

o Intervertebral translation distance: 0 mm

· Implant Status: No deformation, migration, loosening, or fracture observed.

· CT Findings: Indicates fusion status achieved.

· Local Tissue Response: Grade 0.

· Patient Outcomes: Both the Lumbar Function Score and Quality of Life Score showed improvement compared to preoperative levels.

Case 2

Clinical Description

· Female, 64 years old

· Present Illness: Four months ago, the patient sustained an osteoporotic lumbar fracture without any apparent traumatic cause. Three months ago, she began experiencing low back and leg pain in both lower limbs, accompanied by numbness. Symptoms were primarily triggered by exertion and were more pronounced in the right lower limb, specifically involving the right buttock, lateral thigh, posterolateral calf, and extending to the dorsolateral foot. Symptoms have progressively worsened.

· Clinical Diagnosis: Lumbar Spinal Stenosis, Lumbar Vertebral Fracture

· Surgical Treatment: Spinal fusion surgery from L2 to S1, including:

o Lumbar laminectomy (decompression)

o Discectomy

o Pedicle screw internal fixation (utilizing a 4.75 system: 8 screws, 2 rods)

o Interbody cage placement

o Anterior mesh cage placement

o Bone grafting fusion (using a titanium mesh cage)

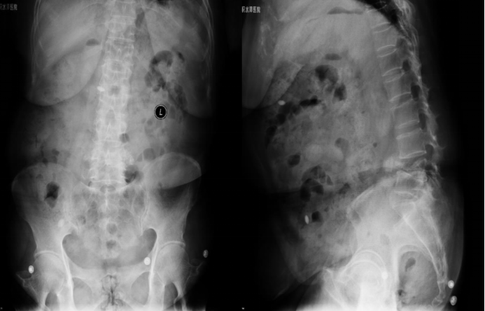
Preoperative Imaging

Preoperative Imaging

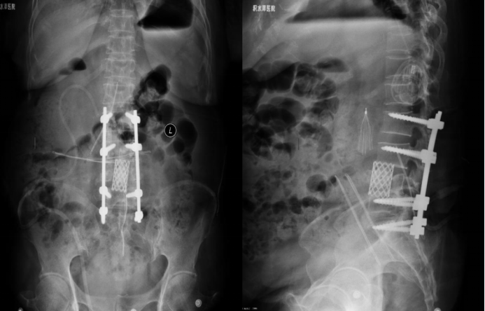
6-month postoperative imaging
Preoperative ImagingPreoperative Imaging6-month postoperative imaging

6-Month Postoperative Follow-up:

6-Month Postoperative Follow-up: The position of the internal fixation hardware remains unchanged compared to the immediate postoperative status. Hyperextension angle: 17.5°; Hyperflexion angle: 15.1°; Intervertebral angular difference: 2.4°; Intervertebral translation distance: 0 mm. The implant shows no signs of deformation, displacement, loosening, or fracture. CT scan indicates fusion. Local reaction is Grade 0. Both the patient's lumbar spine functional score and quality of life score have improved compared to preoperative levels.


Talk to ATOM orthopedic experts

We offer a full range of quality spine, trauma, joint, and sports medicine products — fast delivery, consistent quality.

Contact Us

Contact Us

Tel.: +86 157 5731 2305

E-mail: info@atommd.com

Add.: Room 502, 5th Floor, Deyuan Jiuhe Building, No. 10 Hongyan Road, Chaoyang District, Beijing

Contact Us

Contact Us

Copyright @ATOM Medical Devices Co., Ltd. All Rights Reserved Sitemap

info@atommd.com

+86 157 5731 2305

We Value Your Privacy

Our site uses cookies to improve your experience. By continuing to use our site, you agree to our Cookie Policy and Privacy Policy.